Full-mouth dental implants are a highly effective solution for replacing all teeth with durable and aesthetically pleasing artificial teeth. Dubai, known for its advanced medical and dental care, offers a range of options for full mouth implants. Understanding the cost involved is crucial for anyone considering this significant dental procedure. This in-depth analysis provides a comprehensive breakdown of the costs associated with Full Mouth Dental Implants Cost in Dubai and what factors influence these expenses.

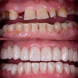
Full mouth dental implants involve placing multiple implants in both the upper and lower jaws to support a complete set of artificial teeth. Unlike traditional dentures, dental implants are anchored into the jawbone, offering a stable and permanent solution that mimics the function and appearance of natural teeth. This procedure is ideal for individuals who have lost all their teeth or need a complete replacement due to extensive damage or decay.
Fixed full mouth implants consist of several implants placed in the jawbone to support a permanent set of artificial teeth. This type of implant offers a natural feel and function, making it a long-term solution for complete tooth replacement.
The All-on-4 technique involves using four implants per arch (upper or lower jaw) to support a full set of teeth. This method is less invasive and more cost-effective, as it reduces the number of implants required while still providing stability and functionality.
Hybrid implants combine features of fixed implants with removable dentures. They offer the stability of implants with the flexibility of removable prosthetics, making them easier to clean and maintain compared to traditional fixed implants.
Before undergoing full-mouth dental implants, you will need an initial consultation and diagnostic tests to evaluate your oral health and determine the appropriate treatment plan. This may include X-rays, CT scans, and other imaging techniques. The cost for this initial assessment typically ranges from AED 500 to AED 1,000.
The cost of placing the implants varies depending on the type and number of implants required. On average, each implant costs between AED 2,000 and AED 4,000. For a full mouth restoration, this can add up to AED 40,000 to AED 80,000, depending on the complexity of the case and the type of implants used.
The cost of prosthetic teeth, which are attached to the implants, depends on the material and design. High-quality materials like zirconia or porcelain provide a more natural appearance and durability, and typically cost between AED 15,000 and AED 30,000 for a full set.
Additional procedures such as bone grafting or sinus lifts may be required if there is insufficient bone density for implant placement. These procedures can add between AED 5,000 and AED 15,000 to the total cost.
Post-operative care and regular maintenance are crucial for the success of your implants. Follow-up visits, adjustments, and maintenance typically cost between AED 1,000 and AED 2,000 annually.
The cost of full-mouth dental implants can vary based on the clinic's location and reputation. Clinics located in central Dubai or high-end areas may charge more due to their premium services and state-of-the-art facilities.
Different types of implants and prosthetic materials can impact the overall cost. Fixed implants and high-quality prosthetics are generally more expensive compared to hybrid implants or lower-cost materials.
The complexity of your dental condition can influence the cost. Patients requiring extensive preparatory work or additional procedures will incur higher costs due to the additional time and resources required.
The experience and qualifications of the dentist performing the procedure can affect the cost. Highly skilled and experienced specialists may charge more for their services, but their expertise can contribute to better outcomes and reduced risk of complications.
When selecting a clinic for full mouth dental implants, conduct thorough research and read reviews from previous patients. Positive testimonials and recommendations can help you find a reputable clinic with a proven track record of successful outcomes.
Ensure that the clinic employs qualified and experienced dental professionals. Check the credentials and experience of the dentists to ensure they have the necessary expertise for full mouth implants.
Opt for a clinic that utilizes advanced technology and modern facilities. State-of-the-art equipment ensures precision and high standards of care, contributing to better results and patient satisfaction.
Obtain quotes from multiple clinics to compare costs and find the best value for your investment. Some clinics may offer package deals or discounts for full-mouth implants.
Verify if your health insurance plan covers any part of the dental implant procedure. Some plans may provide partial reimbursement or coverage for specific aspects of the treatment.
Many clinics offer financing plans that allow you to spread the cost of the procedure over time. This can make the treatment more accessible and manageable within your budget.
Full-mouth dental implants are a significant investment in your oral health and overall quality of life. In Dubai, the cost of this procedure varies based on factors such as the type of implants, additional procedures, and the clinic's location. By understanding the cost breakdown and considering the factors influencing the price, you can make an informed decision and choose the best option for your needs. Always consult with a qualified dental professional to explore your options and receive personalized care tailored to your specific requirements.